0 oy
164 göst.
Sağlık-Diyet-Spor kategorisinde (628 puan) tarafından

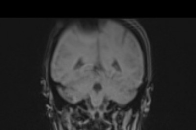
Kizlar mr makinası mı bozuk yoksa kitle gibi birsey mi var bi bakr mısınız 

image

3 Cevaplar

0 oy
(4,285 puan) tarafından
Mr çekimi 1 görüntü ile oluşan bir görüntü değildir çekimleri özelliğine göre 300 görüntü ye kadar çekiliyor sadece bu görüntü ole birsey söylemek neredeyse imkansiz
(628 puan) tarafından
Anladım canim boyundan mr çekilmiştim orda fark ettim küçük bi siyahlik olarak basliyo gotuntu sonra büyüyüp kayboluyo bi kac farkli acidan da çekilmiş mr onda da ayni sekilde bu siyahlık var
(4,285 puan) tarafından
Sen kötü düşünme canim ben mr dan anlayabiliyorum ama 2017 yılından beri her yıl 2 kere ilacli ilacsiz mr çekiliyorum aynı şekilde annem ,abim , kız kardeşimde ben gibi hastalar onların da mr goruntulerini inceledigim için bir fikrim olusabiliyor kısacası sen içini ferah tut doktor zaten gerekli aciklamalari yapar
(628 puan) tarafından
Ne gelirse Rabbimden canım bende az cok anlayabiliyorum hasta bakıcılığı çok yaptım sülaleme gaynanaya tecrubeyle öğrendim bana görüntüler garip geldi raporda sadece boyun kısmını raporlamislar malesef baska bisey yapmamışlar
-Reklam-
0 oy
(4,165 puan) tarafından
Rapor gerekli canım onda ne olduğu yazar ona bakarsan bende de var ama hiçbişey çıkmadı
(628 puan) tarafından
Boyun fıtığı suphesi ile çekilmişti canim raporda onun disinda bisey yazmiyo malesef sadece doktorun nere ile ilgili mr istedigi yeri raporlamislar
0 oy
(1,439 puan) tarafından

Kitle sandığın yerler boşluk gibi  :angel: Rapor be tanı vardır kesin onu at

(628 puan) tarafından
Mr boyun fitigi icin cekilmisti canim o yuzden raporda bununla ilgili bisey yazmiyo raporda omurga kemiginde egilme kemikler darbedeye bağlı ezikler birde boyun duzlesmesi var yaziyor

İlgili sorular

+1 oy
3 cevap 151 göst.
8 Ağustos 2025 Diğer kategorisinde Gizem2121_47804 (4 puan) tarafından soruldu
0 oy
2 cevap 312 göst.
0 oy
5 cevap 173 göst.
14 Temmuz 2025 Diğer kategorisinde O bir anne (706 puan) tarafından soruldu

Kategoriler


1,479,808 soru

24,215,871 cevap

338,370 kullanıcı

...