0 oy
145 göst.
Sağlık-Diyet-Spor kategorisinde (20 puan) tarafından

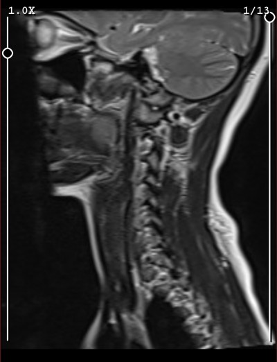
10 gündür geçmeyen Boyun ve sırt ağrım için Beyin ve Sinir Cerrahisi MR istedi Sonuç için henüz gidemiyorum doktora bir bakar mısınız anlayan biri boynumda fıtık falan var mı

image

image

2 Cevaplar

0 oy
(676 puan) tarafından
Raporlanmis olsa tamam dicem de kimanlasin bunu canım ancak doktor bilebilir
-Reklam-
0 oy
(4,314 puan) tarafından
Boyun duzleesmen var c şekli kaybolmuş bende de var daha bu hafta Dr gittim ilaç tedavisine başladık geçince egzersiz verecekmiş.Fitik durumu varsa farklı resimlerde tam omurlarin çekildiği ordan görülebilir en alt ve bir üst ömür arasi bu fotoda sıkışık çıkmış belkide o alanda fıtık olabilir.
(20 puan) tarafından
Evet doktor da dedi boyun düzleşmesi var diye
(4,314 puan) tarafından
Kendi goruntume benzetmistim, geçmiş olsun
(20 puan) tarafından
Teşekkür ederim bir şey daha sormak istiyorum bu boyun düzleşmesi tedavi edilir mi acaba eski kıvrımlı haline döner mi?
(4,314 puan) tarafından
İlerlemesi önleniyormus

İlgili sorular

0 oy
2 cevap 145 göst.
16 Eylül 2022 Diğer kategorisinde Cansu3737 (6 puan) tarafından soruldu
0 oy
7 cevap 360 göst.
21 Eylül 2021 Diğer kategorisinde Huniliprenses (16,380 puan) tarafından soruldu
0 oy
5 cevap 326 göst.
18 Eylül 2022 Diğer kategorisinde Cansu3737 (6 puan) tarafından soruldu
0 oy
5 cevap 227 göst.
9 Mayıs 2024 Diğer kategorisinde Bilgebabar34 (0 puan) tarafından soruldu

Kategoriler


1,506,946 soru

24,598,611 cevap

363,430 kullanıcı

...