0 oy
164 göst.
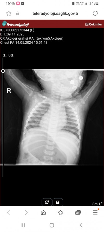
Sağlık-Diyet-Spor kategorisinde (53 puan) tarafından

Doktorumuz bronsitten şüpheleniyor ama sonucu daha gostermedik anlayan var mı 

image

Bu soruya cevap vermek için lütfen giriş yapınız veya kayıt olunuz.

İlgili sorular

0 oy
0 cevap 113 göst.
30 Temmuz 2024 Sağlık-Diyet-Spor kategorisinde 34. (410 puan) tarafından soruldu
0 oy
5 cevap 240 göst.
27 Ağustos 2022 Sağlık-Diyet-Spor kategorisinde Annelerrr (335 puan) tarafından soruldu
0 oy
2 cevap 568 göst.
3 Şubat 2025 Sağlık-Diyet-Spor kategorisinde Eslem 01 (880 puan) tarafından soruldu
0 oy
2 cevap 1,560 göst.
12 Ağustos 2024 Sağlık-Diyet-Spor kategorisinde Ececomez61 (434 puan) tarafından soruldu

Kategoriler


1,505,993 soru

24,585,157 cevap

362,677 kullanıcı

...