0 oy
251 göst.
Diğer kategorisinde (663 puan) tarafından

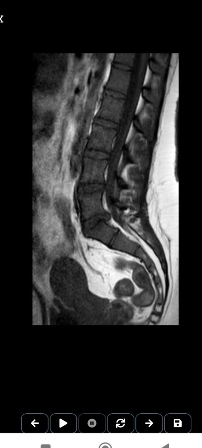
En son 7 sene önce Mr çekilmiştim. Şikayetlerim iyice arttı diye kontrole gittim bugün mr çekildi ama sonuçları gosteremiyorum hemen. Daha önce yaşayan, anlayan var mı acaba. Daha 27 yaşındayım. İlk 19 yaşında belim tutulup Mr çekilince fıtık demişlerdi. O zaman doktor yaşın genç olmasaydı ameliyat derdim ilerlemiş fitiklarin ama yaşın genç demişti. Şimdi 7 sene geçti korkuyorum :( 

image

2 Cevaplar

+1 oy
(3,245 puan) tarafından
Post yukarıııııııııı 
-Reklam-
0 oy
(13,307 puan) tarafından
tarafından düzenlendi

image

Baya büyük kitle var sanki baskı yapan

(2,527 puan) tarafından
Alanınız nedir ?
(663 puan) tarafından
Alttaki beyaz yere doğru uzayani mi diyorsunuz bende onu gördüm
(13,307 puan) tarafından
Tıbbi sekreterlik yaptım ama bende de boyun fıtığı ve omur ilik hemanjiomu var. Resim ekledim tekrar omur iliklerin bir tarafı düzgün sıralı diğer tarafları kabarık
(2,527 puan) tarafından
Yanlış anlama bende atayım bı bakarmisin dicektim de . gidemedim bir türlü sonuca
(13,307 puan) tarafından
Sonuç yani rapor kağıdı PDF olarak vardır r nabızda aşırı değilse de anlıyorum az biraz bakarım.

İlgili sorular

0 oy
1 cevap 293 göst.
0 oy
1 cevap 212 göst.
+1 oy
3 cevap 212 göst.
8 Ağustos 2025 Diğer kategorisinde Gizem2121_47804 (4 puan) tarafından soruldu
0 oy
4 cevap 105 göst.

Kategoriler


1,490,621 soru

24,361,078 cevap

347,095 kullanıcı

...