0 oy
499 göst.
Diğer kategorisinde (9 puan) tarafından

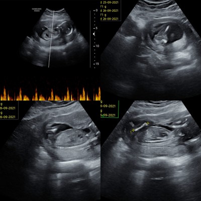
kızlar doktorum birsürü resim verdi ama hangisi bebegimin bacak arası ya anlayamadim

image

image


7 Cevaplar

0 oy
tarafından

Valla bende hiç anlamam :D:D

-Reklam-
0 oy
(2,123 puan) tarafından
Cinsiyeti kızmı canim ben oyle gördüm 
0 oy
tarafından
En alttaki. Popodon almış resmi bacaklar yukarıda. Sanırım kız öyle mi Allah bağışlasın
0 oy
(1,267 puan) tarafından
Kız canim ;))
(1,267 puan) tarafından
Bacak arası en sondaki sanirim
0 oy
tarafından
Sanırım en sonda ki bacak arası diğerleri uzuv ölçümleri cunki be cinsiyeyode kız gibi canım eger o bacak arasında ") 
0 oy
(5,397 puan) tarafından
En üstte bacak arasında çıkıntı var kordon olabilir. En altta da bacak aradı boş. Büyük ihtimalle kız 
0 oy
(5,397 puan) tarafından
16 haftalik belli olmalıydı aslında cinsiyeti. 

İlgili sorular

0 oy
4 cevap 536 göst.
26 Temmuz 2021 Diğer kategorisinde Zeynep96 (9 puan) tarafından soruldu
+2 oy
4 cevap 223 göst.
27 Nisan 2025 Diğer kategorisinde silaygun (2 puan) tarafından soruldu
+1 oy
1 cevap 83 göst.
0 oy
0 cevap 91 göst.

Kategoriler


1,485,864 soru

24,293,637 cevap

343,614 kullanıcı

...