0 oy
214 göst.
Sağlık-Diyet-Spor kategorisinde (259 puan) tarafından

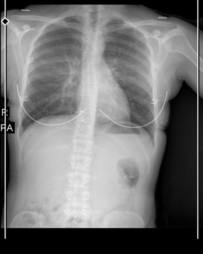
imagekkizlar altaki yuvarlak siyahlık ne bu arada bn astım hastasıyım bunu nasıl atlatabilirim bilginiz varmi

4 Cevaplar

0 oy
(259 puan) tarafından
Postum yukarii
-Reklam-
0 oy
(359 puan) tarafından
O siyah görünen şey eşimdede vardı sanırım normal doktor birsey yok demisti
(259 puan) tarafından
Yaa içim rahatladı biraz sagol

İlgili sorular

0 oy
1 cevap 108 göst.
18 Mart 2024 Sağlık-Diyet-Spor kategorisinde Vinking (204 puan) tarafından soruldu
0 oy
2 cevap 142 göst.
18 Mart 2024 Sağlık-Diyet-Spor kategorisinde Vinking (204 puan) tarafından soruldu
+3 oy
15 cevap 868 göst.
0 oy
35 cevap 1,252 göst.
18 Şubat 2023 Diğer kategorisinde Fatmayaren (879 puan) tarafından soruldu

Kategoriler


1,487,794 soru

24,320,796 cevap

345,302 kullanıcı

...