Giriş
Hatırla
Kayıt
Kadınca Sohbet
Sorular
Cevaplanmamış
Kategoriler
Kullanıcılar
Bir Soru Sor
Hamile Soru Cevap
Bebek Bakımı
Bir Soru Sor
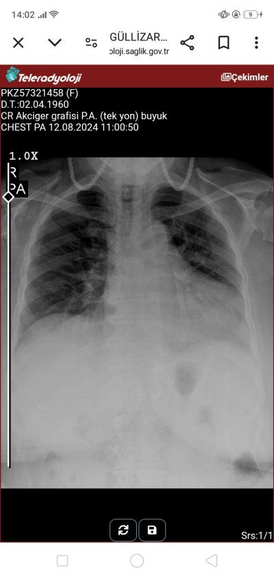
Akciğer grafisi anlayan var mi kizlar
0
oy
457
göst.
12 Ağustos 2024
Sağlık-Diyet-Spor
kategorisinde
Ececomez61
(
434
puan)
tarafından
soruldu
Belki bilen çıkar randevu suremizee var daha
Bu soruya cevap vermek için lütfen
giriş yapınız
veya
kayıt olunuz
.
2
Cevaplar
0
oy
12 Ağustos 2024
At Work
(
7,227
puan)
tarafından
cevaplandı
sanki orda bir leke var gibi
Lütfen yorum eklemek için
giriş yapınız
veya
kayıt olunuz
.
-Reklam-
0
oy
12 Ağustos 2024
1111
(
385
puan)
tarafından
cevaplandı
Ne için cektirmistiniz ne şikayetiyle gittiniz
12 Ağustos 2024
Ececomez61
(
434
puan)
tarafından
yorumlandı
Nefes yetersizliği
12 Ağustos 2024
1111
(
385
puan)
tarafından
yorumlandı
Geçmiş olsun inşallah kötü birsey cikmaz
Lütfen yorum eklemek için
giriş yapınız
veya
kayıt olunuz
.
İlgili sorular
0
oy
0
cevap
39
göst.
Kolon Grafisi Çektirenler Ne Düşünüyor? Deneyimlerinizi Paylaşabilir misiniz?
1 Haziran 2025
Sağlık-Diyet-Spor
kategorisinde
UmayUmayy
(
251
puan)
tarafından
soruldu
0
oy
2
cevap
436
göst.
Akciğer Filmi anlayan bakabilir mi resimli (Eslem)
3 Şubat 2025
Sağlık-Diyet-Spor
kategorisinde
Eslem 01
(
484
puan)
tarafından
soruldu
0
oy
0
cevap
103
göst.
Akciğer filminden anlayan var mı bebegin
17 Mayıs 2024
Sağlık-Diyet-Spor
kategorisinde
Berivan ada
(
53
puan)
tarafından
soruldu
0
oy
4
cevap
430
göst.
Akciğer filmi anlayan bakabilirmi
16 Mayıs 2022
Diğer
kategorisinde
Fatmaaa43
(
112
puan)
tarafından
soruldu
Kategoriler
Tüm kategoriler
Ürün İncelemeleri
(12)
Aile & Aşk
(84,963)
Alışveriş-Hediye
(23,278)
Astroloji & Burçlar
(28)
Cinsel Yaşam
(459)
Çocuk & Ebeveyn
(2,691)
Diziler & Filmler
(98)
Ev & Yaşam
(1,088)
Güzellik-Bakım
(5,954)
İnternet & Teknoloji
(189)
Kültür-Sanat
(2,426)
Moda
(2,440)
Özel Günler & Hijyen
(148)
Para & Ekonomi
(210)
Sağlık-Diyet-Spor
(53,676)
Tatil-Seyehat
(1,567)
Yemek-Tarifler
(14,758)
Diğer
(239,983)
Regl Dönemi (app)
(1)
1,484,137
soru
24,272,227
cevap
342,161
kullanıcı
...